01/05/13 – Latest Monk Seal Death Increases Concern Of Fishery Impacts; First Monk Seal Death Of 2013 Could Have Been Prevented With Earlier Reporting
DEPARTMENT OF LAND AND NATURAL RESOURCES
News Release
| NEIL ABERCROMBIE GOVERNOR |
WILLIAM J. AILA JR,
CHAIRPERSON |
For Immediate Release February 5, 2013
LATEST MONK SEAL DEATH INCREASES
CONCERN OF FISHERY IMPACTS
First Monk Seal Death of 2013 Could Have Been Prevented with Earlier Reporting
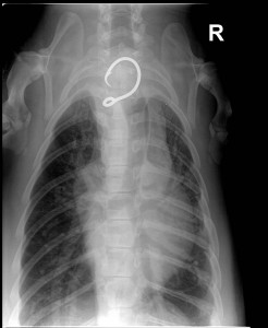
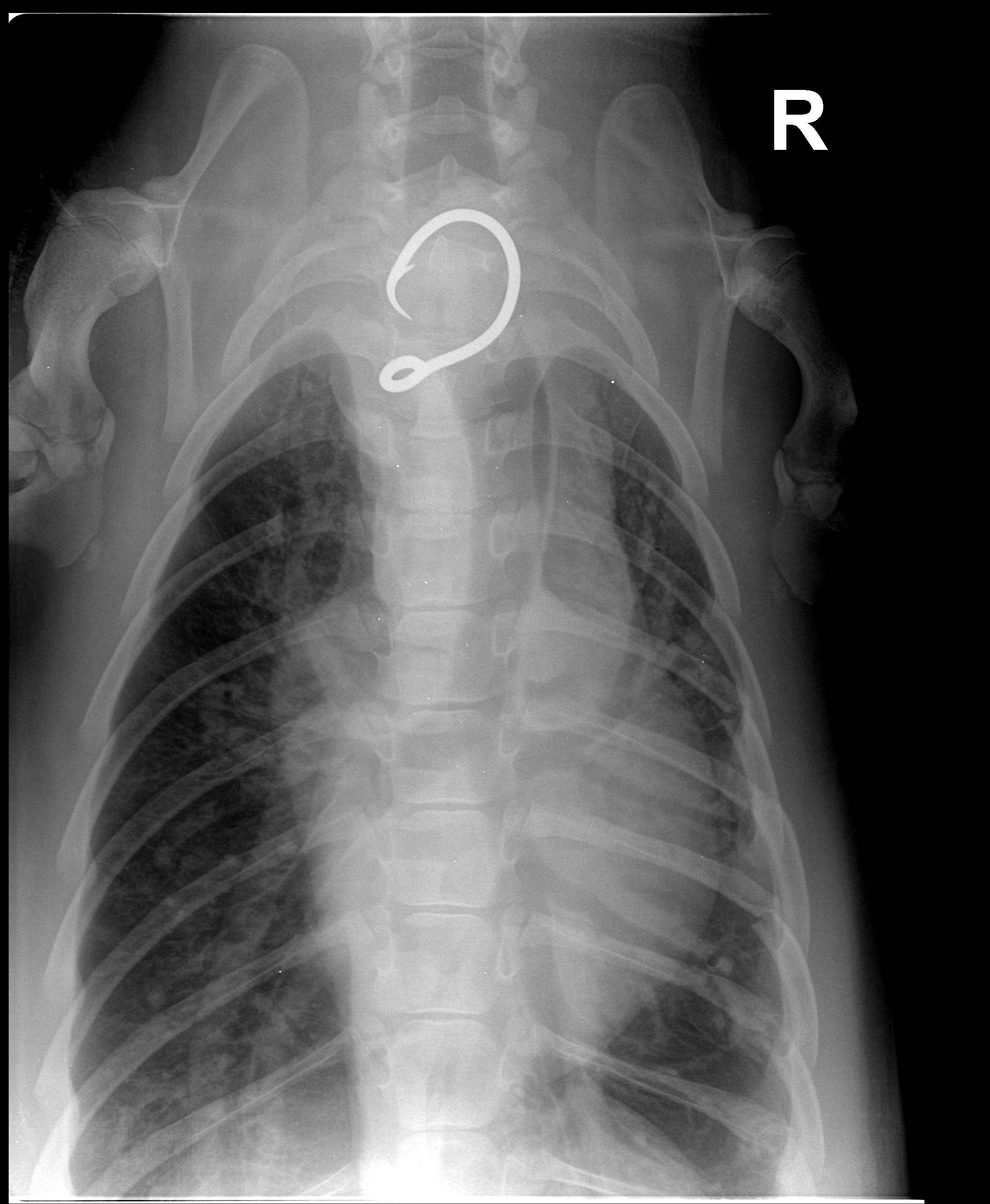
HONOLULU — The Department of Land and Natural Resources (DLNR) and the National Oceanic and Atmospheric Administration (NOAA) this morning reported that a juvenile monk seal flown by the U.S. Coast Guard from Hawai‘i Island to O‘ahu last Friday for medical treatment has died. A necropsy conducted by NOAA Fisheries revealed that the young male seal, known by his ID tags as RK68, suffered fractured ribs earlier in life, but ingestion of a fishing hook more recently is believed to be the cause of death.
Results of the necropsy reveal that the seal may have been hooked for several weeks or months. Officials believe had they received a detailed report of the hooking incident when it occurred, the chances of a life-saving response could have been much greater.
“Early reporting of a monk seal hooking can possibly mean the difference between life and death for one of these critically endangered animals,” said DLNR Chairperson William J. Aila, Jr. “We rely on the community to be active and mindful stewards of our oceans. Had someone come forward, even anonymously, to report this hooking when it occurred, we may have been able to save his life.”
This was the first monk seal death of 2013 and the first from Hawai‘i Island according to available data. Hawai‘i Island Mayor Billy Kenoi has promised increased support from the County.
“We are sad to learn that Hawai‘i Island has had its first monk seal death resulting from a hooking,” Mayor Kenoi said. “We will be encouraging everyone to report any injured or distressed seals to DLNR, and the County will be adding more informational materials in all our parks to help alert residents and visitors to this situation.”
“Many people today use the term ‘kuleana,’ but we all must remember that kuleana is not just about our rights, it is also about our responsibilities. Our community has a responsibility to help manage and care for Hawaiian monk seals,” Aila added. “Hooking a monk seal is often preventable, but we know sometimes things happen beyond a fisherman’s control. However, reporting is almost always within our control, and when someone observes a hooking and doesn’t call it in, it means an unfortunate incident can go from bad to worse, and become fatal for the seal. We have an opportunity at this time to find solutions that will work for both the seals and the fishermen.”
NOAA officials note that monk seal hookings appear to be increasing. There were nine reported hookings in 2011, none of which resulted in deaths. There were 15 hookings reported in 2012, resulting in three deaths. This incident marks the first seal death of 2013. Another seal was reported with a hook in its tongue Monday (Feb. 4) afternoon on Kaua‘i. DLNR and NOAA Fisheries considers these numbers concerning.
“It is certainly discouraging to see the number of hookings continue to increase, but it is alarming when monk seals lives are needlessly put at greater risk because people fail to report hookings as they occur,” noted Charles Littnan, Lead Scientist with NOAA’s Hawaiian Monk Seal Recovery Program. “We remain strongly committed to studying monk seal behavior so we can find means of mitigating these interactions, but we depend on community members to provide us information on interactions. The more we receive public reportings of hookings and other interactions, the quicker we will be able develop solutions for mitigating these situations.”
The toll-free, 24/7 reporting hotline for all fishery interactions and other marine mammal incidents is
1-888-256-9840. DLNR and NOAA Fisheries urge all fishermen and other ocean users to write down this hotline and/or save it in their mobile phones for timely use whenever a seal is hooked or entangled.
For more information, news media may contact:
NOAA Contact:
Jeff Walters
Marine Mammal Branch Chief, NOAA NMFS PIRO
Cell: (808) 282-0155




